Bethlehem Town Family Dental
Making Dental Care Simpler

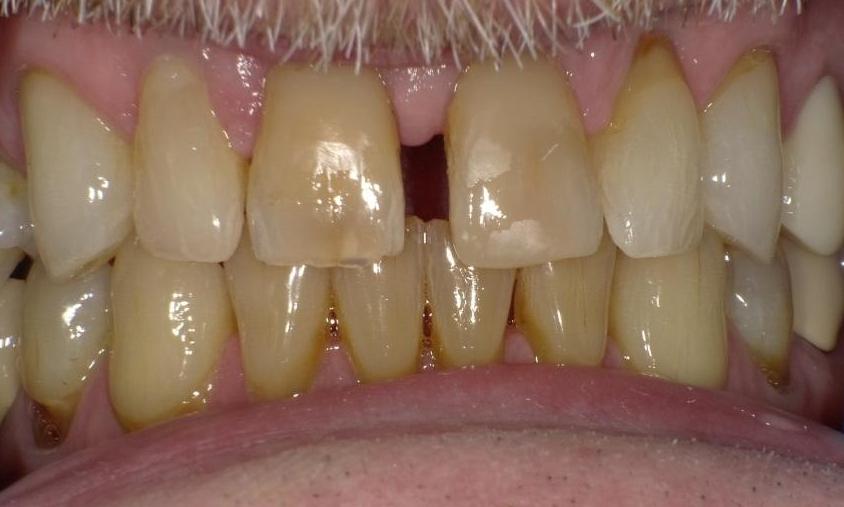
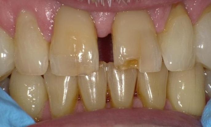
Broken Tooth Repair

This patient called us one day saying his tooth is broken from a fall. We immediately got the patient in and did composite, tooth-colored, bonding onto the front tooth. Patient left looking like nothing has happened!
Getting an appointment is fast and easy!
If you have difficulty using our website, please email us or call us at (518) 776-4939
Privacy Policy