Smile Gallery
Deciding on any type of dental treatment is a team effort. We will provide you with all the information you need and work with you to make sure your treatment matches your goals.
A great way to help you understand the outcome of your treatment is to share before-and-after pictures of actual cases we’ve worked on. No matter what treatment we choose, you can expect the same type of outstanding results that you see here.






We removed the existing bonding and prepared the teeth slightly for the veneers and after a few visits they are finally seated! We are happy to say it looks ...


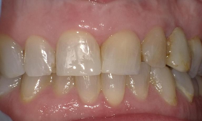
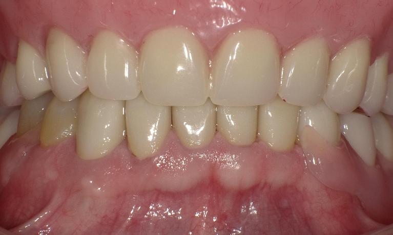
This patient came to us because she didn't like the look of her front tooth. She said the crown was done the same day in her previous office and it doesn't match her other teeth. We recommended to replace the crown with lab-made porcelain crown and she agreed to give it a shot.
After we removed the existing crown, we found various dark internal stains and we were able to remove them partially. We went through the process of a regular crown and waited for the crown to return from the lab while patient had a temporary crown. When ...


Invisalign is a great way to correct malocclusion without the hindered looks of metal braces. Anyone who had braces would tell you it wasn't all that fun to have metal brackets on your teeth and constantly getting your cheeks scrapped. Invisalign trays also known as clear aligners are almost invisible and are easy to wear, they are the future of orthodontics.
Like braces, Invisalign cases can take a while to finish and we are glad to present one of them here today. This patient had braces when she was a teenager but she did not wear her retainers ...






This patient presented to our office with crowded and chipped teeth. We have gone through composite resin to bond and repair the chipped teeth and using invisalign to straighten out the crowded teeth. The time lapse between the before picture and the after picture was about 2 years. Invisalign took about a year to complete. You can see the bonding we did on the top front tooth still looks great after 2 years. Patient is very happy and only need to wear retainer at night to maintain her smile.












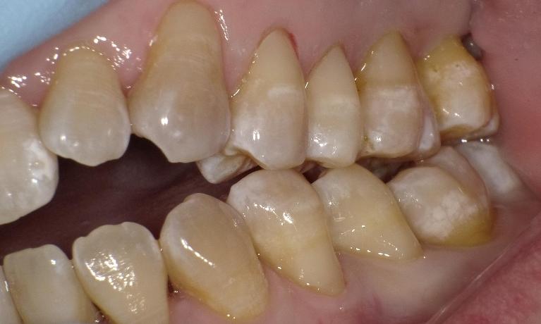
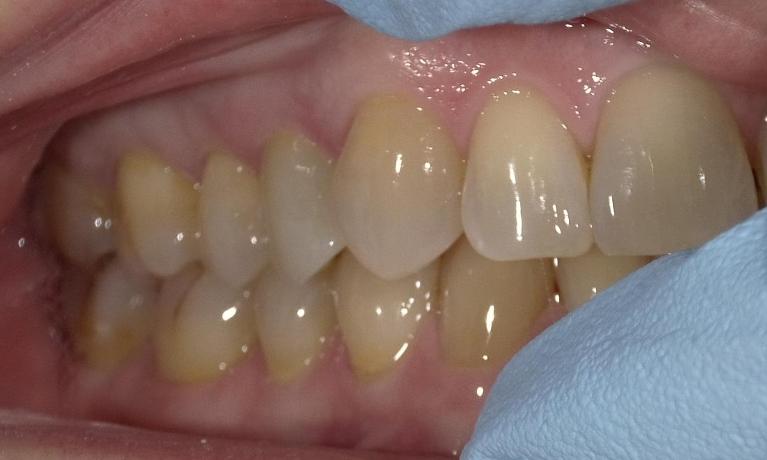
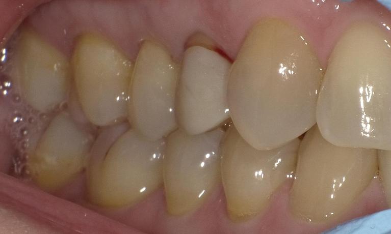
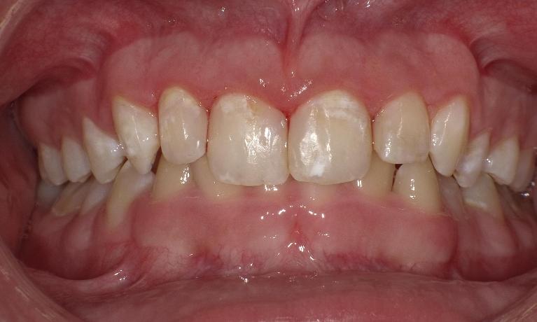
This patient came to us for routine dentistry and we found multiple cavities in the front teeth. Patient hates the look of the front teeth and asked us if we can fix them. We started the treatment with just doing fillings in mind for the front teeth, but decided to go a little further after we got in there. We ended up doing multiple services for this patient: removing decay, removing stains, filling the cavities, and repairing chipped edges. Patient was very happy with the surprised results at the end and we were happy to have made a difference!


This patient presented to us because she does not like her two front teeth with old composite bondings. They are dark and stained. Staining and chipping are typical issues with composite bonding and they don't last as long as crowns. After further discussion, we decided to move forward with crowns to improve esthetics of the front teeth. Patient was very happy with the results and she no longer have to worry about her front teeth staining and chipping.


This patient came to us with several issues and one of them is a missing front tooth. He needed an efficient option that will fix most of his problems at the same time while minimizing cost. Bridges are not typically recommended at our office between it has a few disadvantages. It connects the teeth together so if you have 1 issue anywhere on the bridge it will involve all the teeth. Cleaning underneath it is difficult and bridge requires us to cut away significant amount of tooth structure on teeth adjacent to the missing space. However, sometimes bridge option can ...


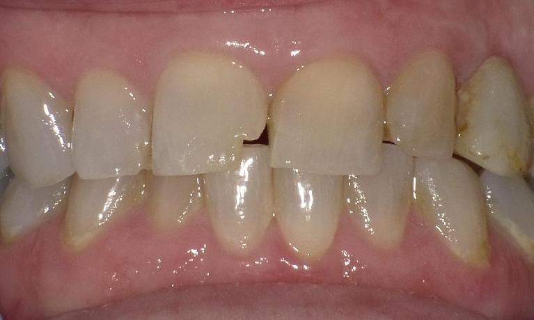
This patient came to us because the front teeth are very yellow and patient does not like them. The front teeth had old bonding done 25 years ago. They lasted a long time but over the years they developed stains internally due to the old porous bonding materials. Since we are unable to make them whiter with whitening, we have to remove the existing bonding and come up with new ways to make them look better.
Patient and us went back and forth on what treatment options can achieve the best results and at the end we decided to go for ...


This patient came to us with many different dental concerns and one of them was the gap between the front teeth. She did not like this gap and wishes to close it conservatively without doing extensive dental treatments. After our discussions, we decided to use Invisalign to close the gap. Invisalign is almost always a better option to improve patient's smiles than composite bonding, crowns, veneers, and bridges because natural teeth are permanent while all dental work have a lifespan and may have to be changed out in the future. Please go under our services tab above and learn more ...


This patient came to us because his crown on his front tooth is getting loose and he had the crown for decades. While he always knew the crown didn't look so great, he never cared enough to have it redone for cosmetic reasons. Now that the crown is falling out, he doesn't really have a choice to have it replaced. Patient's existing crown looks off because it's a porcelain-fused metal crown, which can look very opaque if the crown preparation design is not done right. We decided to switch patient's crown material to a ceramic material with more translucency. We ...


Patient presented with multiple missing teeth and did not like her smile. We did a complete evaluation and went over a few options on how to replace the missing areas and improve her smile. At the end, we decided to proceed with dental implants and replace some existing dental work to improve esthetics. With the help of an oral surgeon, we were able to place implants, abutments, and crowns to replace her missing teeth. We also replaced a front crown to achieve a more natural looking smile with a more contemporary crown material that is thinner and more translucent. Overall, ...


This patient came to us because she's in need of a smile makeover but she couldn't afford to do crowns on every tooth. In fact, she was only able to do a few crowns at a time. We sat down together completed our exam, records, x-ray, and formed a treatment plan based on realistic goals and budgets that were possible for the patient. We decided to remove hopeless teeth and do several crowns over a few appointments to at least stabilize the dentition and achieve a better smile. Afterwards, we will revisit and decide how to replace missing teeth and ...




Occasionally we have patients that hasn't done the best job at home to maintain good oral hygiene and end up with extensive calculus build up and severe gingival inflammation. If left untreated, the bone around the teeth will start to recede and teeth can become mobile. This process turns common gingivitis into periodontitis and the periodontal infection will require a deep cleaning, also called scaling and root planning, to resolve. The goal of the deep cleaning is to remove tartar, calculus, plaque, bacteria, and toxins that resides below the gum and reduce inflammation. Unfortunately, the bone receded won't come back, ...


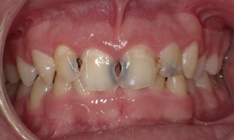
Patient does not like the look of her old front crown and who could blame her. The old crown was done a long time ago and the gum has receded, causing metal margin of the crown to show, and extensive amount of root surface exposed. Due to having a previous root canal therapy, the tooth has gotten darker over time as well. For cosmetic reasons, we decided to crown both front teeth to create better symmetry and enhance esthetics. We do not use metal in our crowns so we do not need to worry about a dark crown margin showing ...


This patient has crowded teeth on the upper arch with lateral incisors protruding out from the crowding. They also have large and old fillings that have failed. The old fillings have developed decay underneath them and they have also accumulated stains. All these conditions are making the lateral incisors look unpleasant. Patient is not happy with the look but we needed to restore these teeth anyways so fixing the look is like the icing on the cake! We made sure we had enough tooth reduction on our crown preparation designs to correct the protrusion. We also made sure we selected ...


This patient is a great patient of ours that came to us for routine dental work and we brought up some discussion about possibly resolving the crowded teeth and patient agreed after some consideration. The treatment journey was slightly bumpy due to COVID shutdown and a few tough teeth that resisted some movements. Patient also had to move towards the end of the treatment, which was tough to follow through to the end. However, we're happy to say that patient was very satisfied with the results and we were happy to be able to help!


This patient has been coming to our office for years and she informed us recently she does not like her front crowns, hoping to replace them. There were also various structural issues with the crowns that can't be seen on the photos. We agreed it's time to replace them. Through the help of our labs, we were able to use a more esthetic crown material and customized some white staining to create a very close match to her adjacent teeth. Patient was very happy with the results and we're happy to have helped this patient improve her smile.


This patient originally came to us for simple and routine dental work. We have discussed about straightening teeth quite a few times and after some serious consideration, patient agreed to move forward with treatment. We apologize for the different lighting in the photos that may appear as if the teeth were in different shades. No whitening were done in this case, but it's certainly an option with invisalign treatment because the trays can also be used as whitening trays. After just 7-8 months, this case was completed and you can see the drastic difference in teeth position. Patient was surprised ...









1. Toothbrush Abrasion: brushing hard and incorrectly with a hard brush
2. Grinding Teeth
Abfractions, are not actually cavities caused by decay and the usual reason for treatment are:
1. Sensitivity due to loss of tooth structure
2. Esthetic concerns, patient doesn't like the way the dents looks.
In this particular case, patient was experiencing a lot of sensitivity and didn't mind an esthetic upgrade, so we decided to treat the abfractions.
Matching to patient's dark tint and white stains were ...








