Bethlehem Town Family Dental
Making Dental Care Simpler

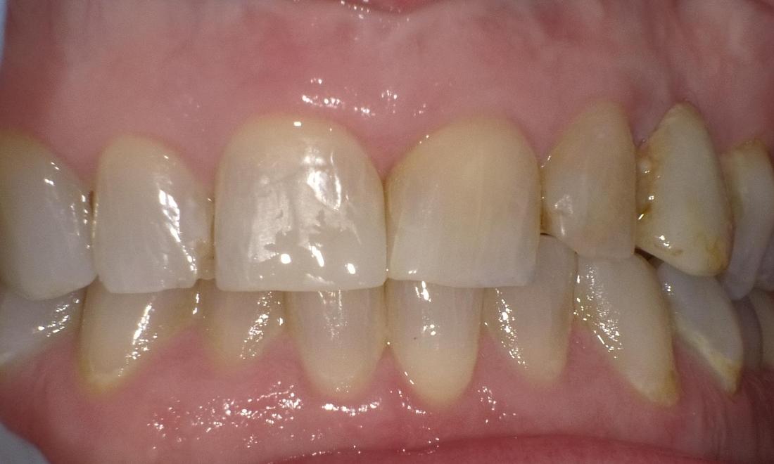
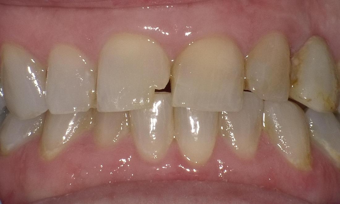
Chipped Tooth Repair

Patient called and told us a tooth is chipped. We swiftly got the patient in the same day and took care of it. Patient was in and out in less than an hour and can smile again! We were glad to help!

Related Services:

Tooth-Colored Fillings
Improve your smile today – call to schedule a consultation!
If you have difficulty using our website, please email us or call us at (518) 776-4939
Privacy Policy