Bethlehem Town Family Dental
Making Dental Care Simpler

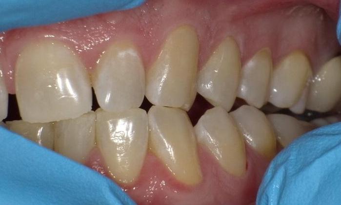
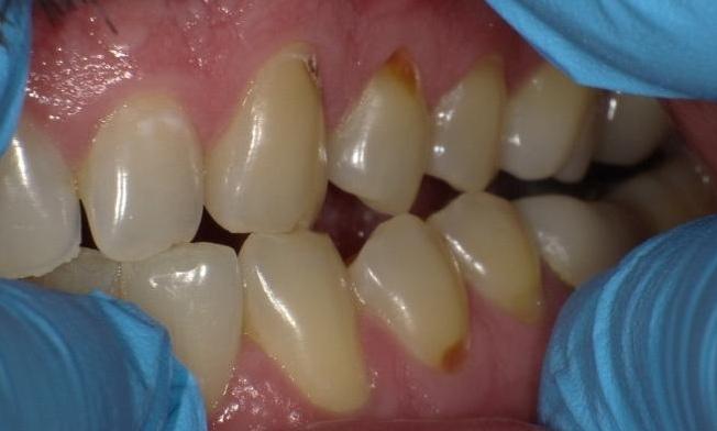
Composite Fillings

This patient had cavities around the gum line of the teeth and did not like the way they looked. We recommended to remove the decay and restore the teeth with composite fillings. These types of tooth colored restorations is on of our specialties, so we went right to work! After everything was done, the patient was very happy with the results!
Still need an appointment?
If you have difficulty using our website, please email us or call us at (518) 776-4939
Privacy Policy