Bethlehem Town Family Dental
Making Dental Care Simpler

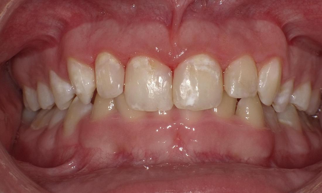
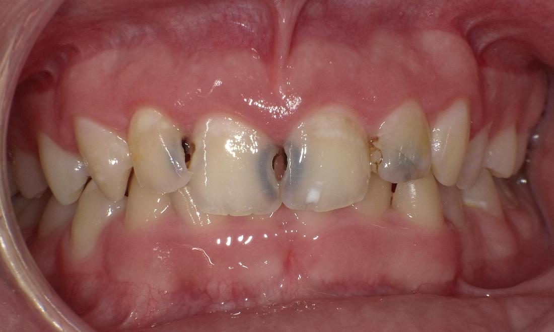
Composite Restoration

This was a case we did at the office to show what the composite (tooth-colored) fillings can achieve. Patient can consider to have ceramic crowns done in the future. This patient can smile with confidence after the procedure and we were glad to be a part of it!

Related Services:

Tooth-Colored Fillings
Ready to book an appointment?
If you have difficulty using our website, please email us or call us at (518) 776-4939
Privacy Policy