Bethlehem Town Family Dental
Making Dental Care Simpler

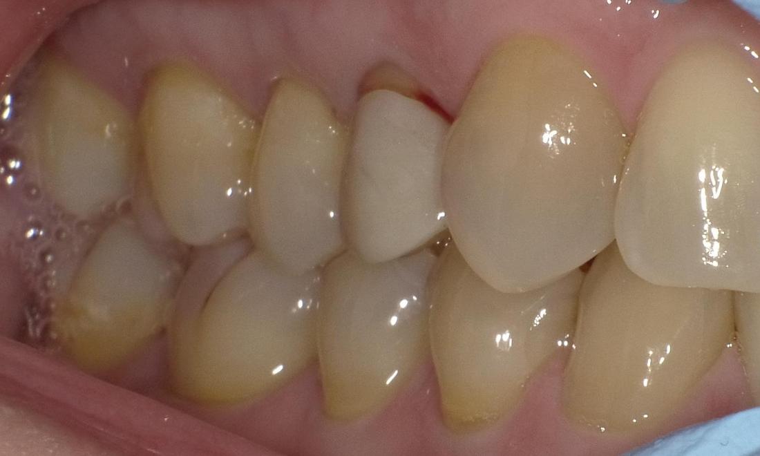
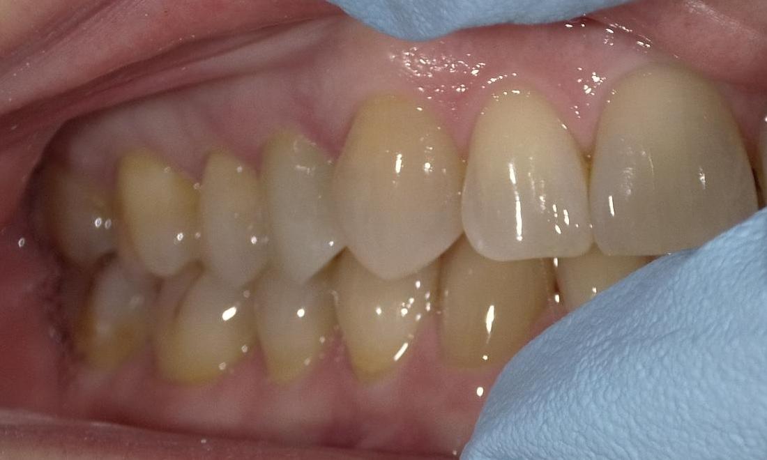
Crown Replacement

Patient came to us with a crown that she doesn't like. She said the crown's color is off and the part next to the gum isn't covered. We removed the existing crown and reshaped the tooth and made a new zirconia crown for the patient. She was very happy with the results.

Related Services:

Crowns & Bridges
Not finding what you need?
If you have difficulty using our website, please email us or call us at (518) 776-4939
Privacy Policy