Bethlehem Town Family Dental
Making Dental Care Simpler

Crowns and Veneers

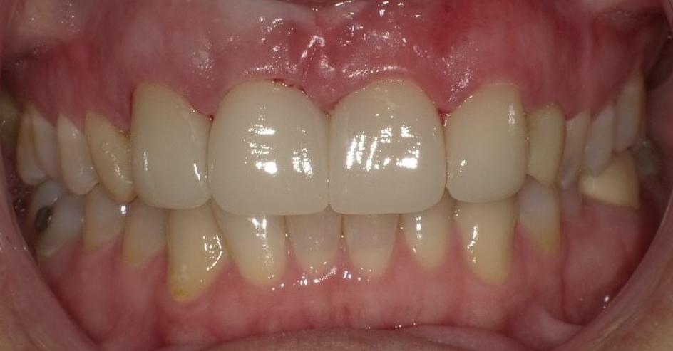
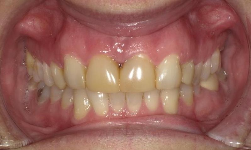
This patient came to us because the front teeth are very yellow and patient does not like them.  The front teeth had old bonding done 25 years ago.  They lasted a long time but over the years they developed stains internally due to the old porous bonding materials.  Since we are unable to make them whiter with whitening, we have to remove the existing bonding and come up with new ways to make them look better.  

Patient and us went back and forth on what treatment options can achieve the best results and at the end we decided to go for two crowns and two veneers.  We opted out of doing new bonding because they won't be as sturdy and have higher risk of chipping and staining.  

After everything was done, we are delighted to say patient was very satisfied with the results.  We are thrilled to be part of this transformation and now the patient can smile confidently!  

Improve your smile today – call to schedule a consultation!
If you have difficulty using our website, please email us or call us at (518) 776-4939