Bethlehem Town Family Dental
Making Dental Care Simpler

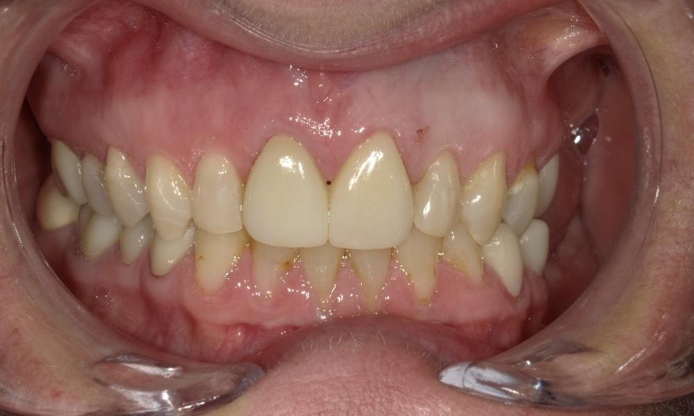
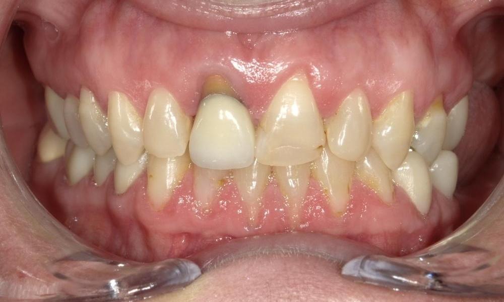
What a big difference 2 crowns can make!

Patient does not like the look of her old front crown and who could blame her.  The old crown was done a long time ago and the gum has receded, causing metal margin of the crown to show, and extensive amount of root surface exposed.  Due to having a previous root canal therapy, the tooth has gotten darker over time as well.  For cosmetic reasons, we decided to crown both front teeth to create better symmetry and enhance esthetics.  We do not use metal in our crowns so we do not need to worry about a dark crown margin showing again in the future.  At the end, we picked a crown material that has just enough translucency to look natural but not too much where the darkness of the tooth would show through.  Patient was very happy with the results and we were happy to have made a big difference in this patient's smile. 

Ready to book an appointment?
If you have difficulty using our website, please email us or call us at (518) 776-4939
View the ADA Accessibility Statement