Bethlehem Town Family Dental
Making Dental Care Simpler

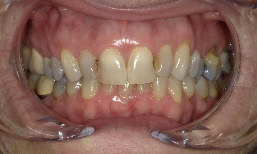
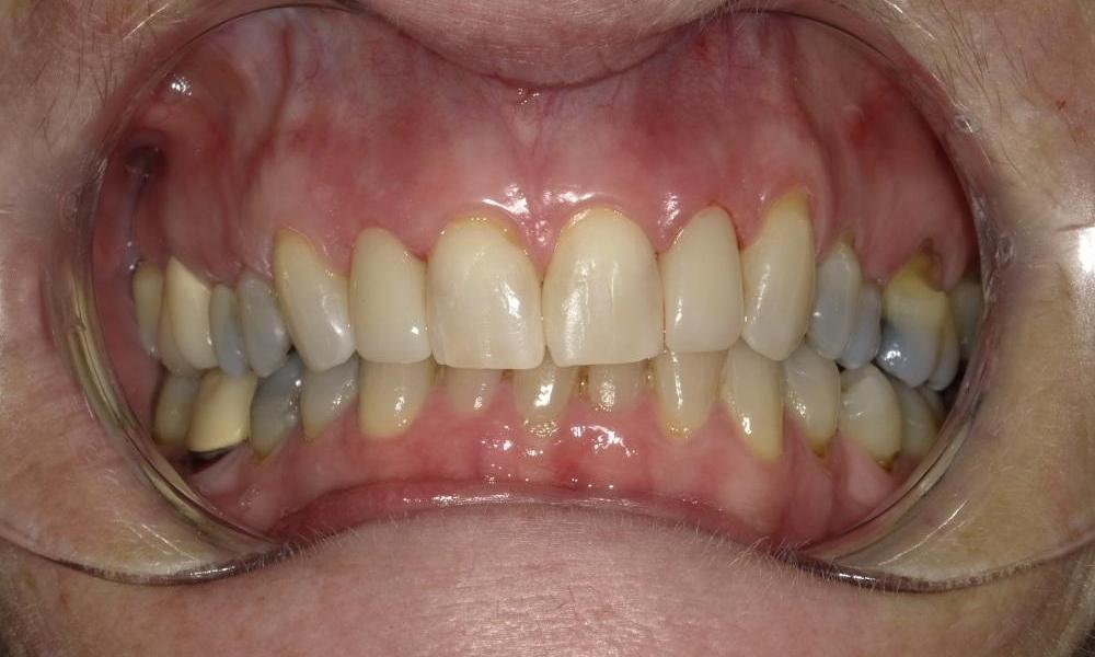
What a big difference 2 crowns can make! #2

This patient has crowded teeth on the upper arch with lateral incisors protruding out from the crowding.  They also have large and old fillings that have failed.  The old fillings have developed decay underneath them and they have also accumulated stains.  All these conditions are making the lateral incisors look unpleasant.  Patient is not happy with the look but we needed to restore these teeth anyways so fixing the look is like the icing on the cake!  We made sure we had enough tooth reduction on our crown preparation designs to correct the protrusion.  We also made sure we selected a crown material that will match patient's natural dentition translucency.  We are happy to say we were able to mimic the natural dentition quite well here and the patient was pleasantly surprised with the results!   

Have Questions? Get in Touch
If you have difficulty using our website, please email us or call us at (518) 776-4939
Privacy Policy