Bethlehem Town Family Dental
Making Dental Care Simpler

Deep cleaning, Scaling and Root Planning.

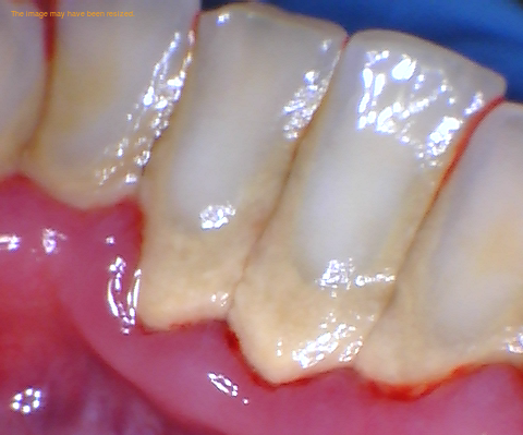
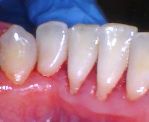
Occasionally we have patients that hasn't done the best job at home to maintain good oral hygiene and end up with extensive calculus build up and severe gingival inflammation.  If left untreated, the bone around the teeth will start to recede and teeth can become mobile.  This process turns common gingivitis into periodontitis and the periodontal infection will require a deep cleaning, also called scaling and root planning, to resolve.  The goal of the deep cleaning is to remove tartar, calculus, plaque, bacteria, and toxins that resides below the gum and reduce inflammation.  Unfortunately, the bone receded won't come back, but we can maintain the remaining bone level.  After a deep cleaning, we will recommend a cleaning every 3 months and we will count on our patients to keep their teeth clean at home in between cleanings.  If you think you have similar gum issue, please give us a call and find out how we can help you.  

Ready to book an appointment?
If you have difficulty using our website, please email us or call us at (518) 776-4939
View the ADA Accessibility Statement