Bethlehem Town Family Dental
Making Dental Care Simpler

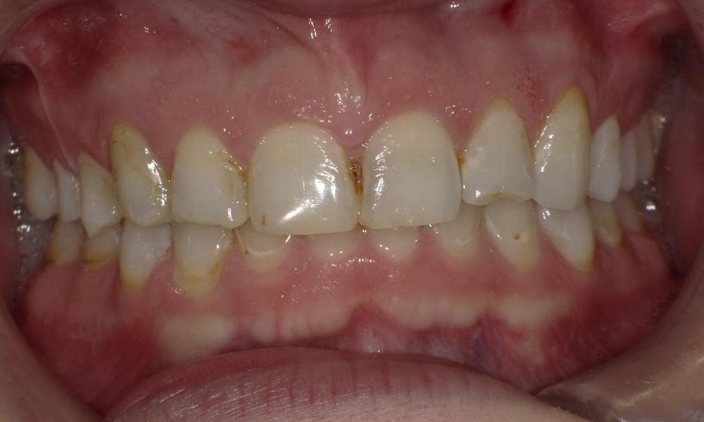
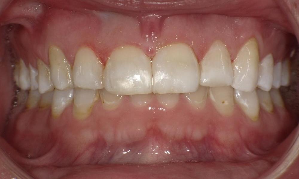
Front fillings and beyond

This patient came to us for routine dentistry and we found multiple cavities in the front teeth.  Patient hates the look of the front teeth and asked us if we can fix them.  We started the treatment with just doing fillings in mind for the front teeth, but decided to go a little further after we got in there.  We ended up doing multiple services for this patient: removing decay, removing stains, filling the cavities, and repairing chipped edges.  Patient was very happy with the surprised results at the end and we were happy to have made a difference!  

Still need an appointment?
If you have difficulty using our website, please email us or call us at (518) 776-4939
Privacy Policy