Bethlehem Town Family Dental
Making Dental Care Simpler

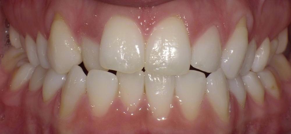
Invisalign Smile Transformation

Invisalign is a great way to correct malocclusion without the hindered looks of metal braces. Anyone who had braces would tell you it wasn't all that fun to have metal brackets on your teeth and constantly getting your cheeks scrapped. Invisalign trays also known as clear aligners are almost invisible and are easy to wear, they are the future of orthodontics.

Like braces, Invisalign cases can take a while to finish and we are glad to present one of them here today. This patient had braces when she was a teenager but she did not wear her retainers so the teeth had moved back to poor positions. This case involves anterior crossbite and moderate crowding on both top and bottom arches. After several months of Invisalign treatment, we were able to get her teeth position aligned. Patient was surprised at the change accomplished by Invisalign and was happy with her straight teeth.

Ready to book an appointment?
If you have difficulty using our website, please email us or call us at (518) 776-4939
Privacy Policy