Bethlehem Town Family Dental
Making Dental Care Simpler

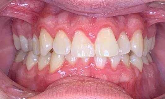
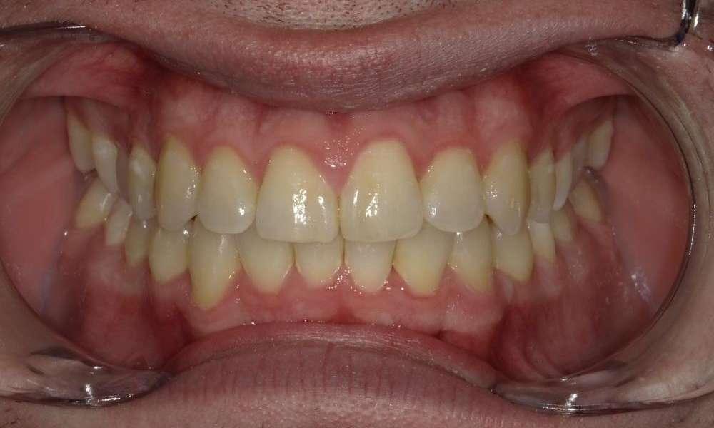
Invisalign Treatment May Be Faster Than You Think!

This patient originally came to us for simple and routine dental work. We have discussed about straightening teeth quite a few times and after some serious consideration, patient agreed to move forward with treatment.  We apologize for the different lighting in the photos that may appear as if the teeth were in different shades.  No whitening were done in this case, but it's certainly an option with invisalign treatment because the trays can also be used as whitening trays.  After just 7-8 months, this case was completed and you can see the drastic difference in teeth position.  Patient was surprised at how fast and smooth the process was and we were glad we could help!

Not finding what you need?
If you have difficulty using our website, please email us or call us at (518) 776-4939
Privacy Policy