Bethlehem Town Family Dental
Making Dental Care Simpler

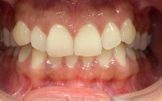
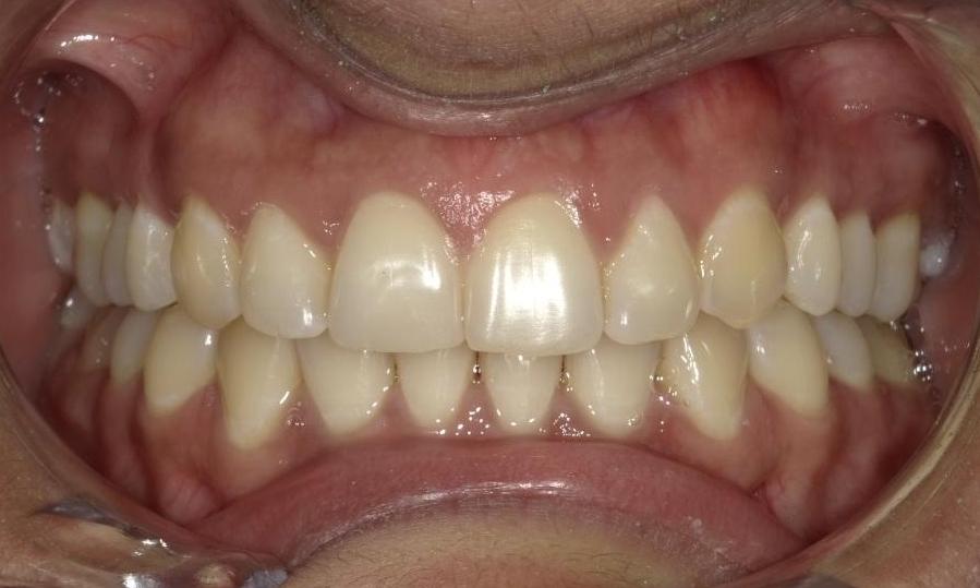
Moderate crowding resolved!

This patient is a great patient of ours that came to us for routine dental work and we brought up some discussion about possibly resolving the crowded teeth and patient agreed after some consideration.  The treatment journey was slightly bumpy due to COVID shutdown and a few tough teeth that resisted some movements.  Patient also had to move towards the end of the treatment, which was tough to follow through to the end.  However, we're happy to say that patient was very satisfied with the results and we were happy to be able to help!  

Not finding what you need?
If you have difficulty using our website, please email us or call us at (518) 776-4939
Privacy Policy