Bethlehem Town Family Dental
Making Dental Care Simpler

The occasional bridge option

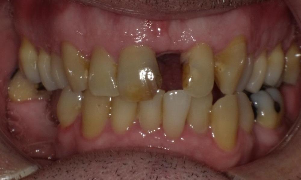
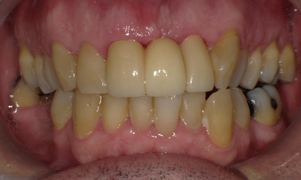
This patient came to us with several issues and one of them is a missing front tooth.  He needed an efficient option that will fix most of his problems at the same time while minimizing cost.  Bridges are not typically recommended at our office between it has a few disadvantages.  It connects the teeth together so if you have 1 issue anywhere on the bridge it will involve all the teeth.  Cleaning underneath it is difficult and bridge requires us to cut away significant amount of tooth structure on teeth adjacent to the missing space.  However, sometimes bridge option can be more efficient and economical if the adjacent teeth next to the space also need extensive dental work.  One bridge in this case will solve 3 issues and this worked out for the patient.  After the procedure was done, patient was very happy with the choice and result.   

Not finding what you need?
If you have difficulty using our website, please email us or call us at (518) 776-4939
Privacy Policy