Bethlehem Town Family Dental
Making Dental Care Simpler

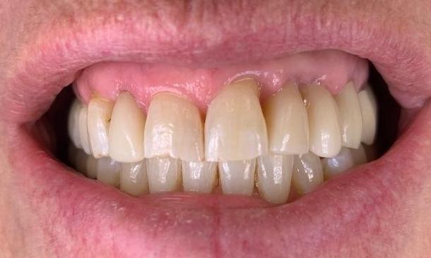
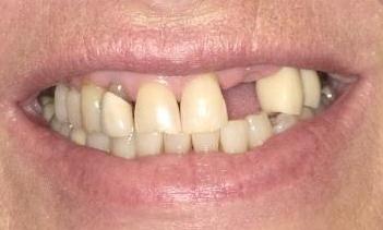
Replacement of missing teeth with implants and crowns

Patient presented with multiple missing teeth and did not like her smile.  We did a complete evaluation and went over a few options on how to replace the missing areas and improve her smile.  At the end, we decided to proceed with dental implants and replace some existing dental work to improve esthetics.  With the help of an oral surgeon, we were able to place implants, abutments, and crowns to replace her missing teeth.  We also replaced a front crown to achieve a more natural looking smile with a more contemporary crown material that is thinner and more translucent.  Overall, patient was very happy with the outcome and we are glad to be able to help in this transition.  

Still need an appointment?
If you have difficulty using our website, please email us or call us at (518) 776-4939