Bethlehem Town Family Dental
Making Dental Care Simpler

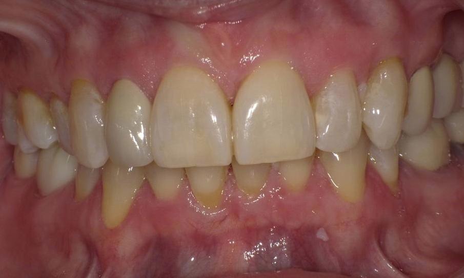
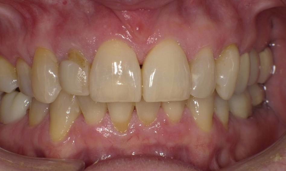
Simple Single Veneer

This patient has had a tooth-colored bonding for many years on the right upper lateral incisor (#7). Unfortunately the bonding has broken and the exposed part was stained. We had a consultation with the patient and suggested to remove the remaining bonding material and make just a single veneer on the same tooth. The procedure is fairly conservative (non-invasive) where minimal amount of drilling is required. The only difficult part is to match a single veneer to the rest of the teeth. (this is why dentists usually recommend 4 - 6 veneers at a time so they all match in shade / color) Patient liked the idea so we went forward with the treatment. Overall we are quite happy with the results, the teeth are now more symmetrical and the shade/color is as close as it could get as a single veneer.

Related Services:

Cosmetic Dentistry
Ready to book an appointment?
If you have difficulty using our website, please email us or call us at (518) 776-4939
Privacy Policy