Bethlehem Town Family Dental
Making Dental Care Simpler

Smile makeover on a reasonable budget

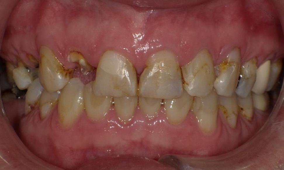
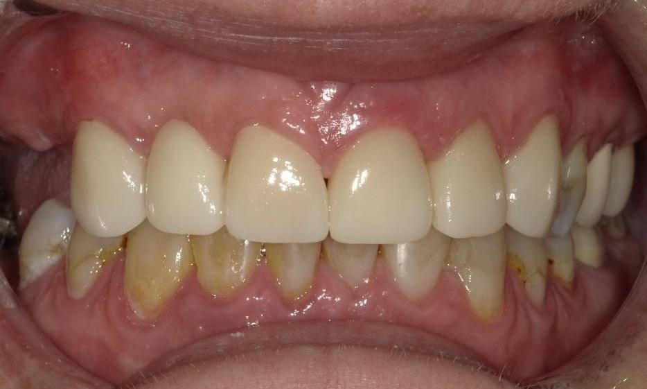
This patient came to us because she's in need of a smile makeover but she couldn't afford to do crowns on every tooth.  In fact, she was only able to do a few crowns at a time.  We sat down together completed our exam, records, x-ray, and formed a treatment plan based on realistic goals and budgets that were possible for the patient.  We decided to remove hopeless teeth and do several crowns over a few appointments to at least stabilize the dentition and achieve a better smile.  Afterwards, we will revisit and decide how to replace missing teeth and other issues.  It is often difficult to split up dental work in inefficient appointments but we did our best to carry our the treatment plan with patient's budget in mind.  We're glad to say our phase 1 has been completed and patient is very happy with the results.  We're so happy to have been able to help in this transition and we look forward to continue our plan into phase 2. 

Still need an appointment?
If you have difficulty using our website, please email us or call us at (518) 776-4939
Privacy Policy