Bethlehem Town Family Dental
Making Dental Care Simpler

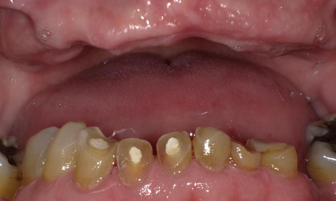
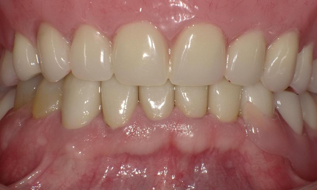
Total Smile Makeover - Crowns, Fillings and Dentures

Patient came to us with some broken teeth on the bottom and needing a denture on the top. Our treatment included multiple composite (tooth-colored) fillings, root canal therapies, porcelain crowns, and a new upper complete denture and a new lower flexible valplast partial denture without metal. This case took a lot of effort to complete but we are happy to say we were able to give the patient something to smile about!
Have Questions? Get in Touch
If you have difficulty using our website, please email us or call us at (518) 776-4939
Privacy Policy